
Applied Clinical Radiology is intended to provide the non-radiologist with an understanding of how radiology is applied in clinical practice, i.e. "A Radiology User's Manual for the Non-radiologist."
| Platform | Pricing | Only free issues | Publishes | Twice weekly | |
|---|---|---|---|---|---|
| Issues | 36 | Founded | 10 months ago | Last Issue | a month ago |
| Active | |||||

34-year-old male presents after syncopal episode and seizure lasting 1 minute. A chest radiograph was obtained for “concern for aspiration.”
What is the salient finding?
What follow-up imagi...
34-year-old male presents after syncopal episode and seizure lasting 1 minute. A chest radiograph was obtained for “concern for aspiration.”
What is the salient finding?
What follow-up imagi...
Case Presentation: A 35-year-old male presents for “line placement."
What device is shown?
Is it in an appropriate position?
Answers
2...
Case Presentation: A 35-year-old male presents for “line placement."
The answer to this question and the discussion can be found here.
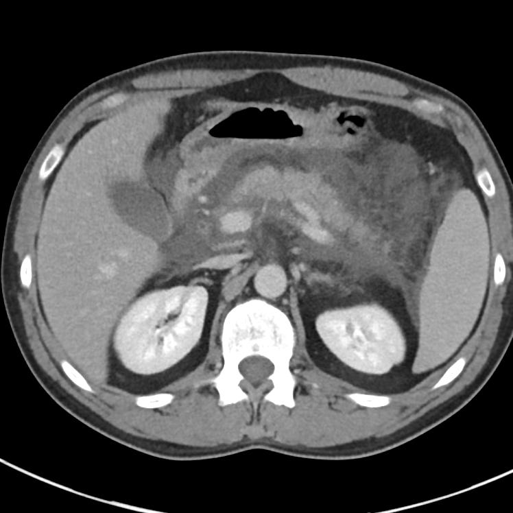
A 14-year-old female presents for severe, diffuse abdominal pain over the last 2 days. Patient states that the pain is worse with movement and improves when she lays still. The patient endorses nausea, vomiting, and d...
Subscribers, engagement, traffic and sponsorship for Applied Clinical Radiology.
| Subscribers | Engagement | 66 | Monthly Web Visits | ||
|---|---|---|---|---|---|
| Accepts Sponsors | Estimated Cost per Ad | ||||
The writers behind this newsletter.
As a practicing general radiologist, I endeavor to educate non-radiologists about radiology. It is less about interpreting exams (though there is some of that) and more about how to get the most out of radiology.
You can find recent issues that have been published by Applied Clinical Radiology on Reletter by scrolling up to where it says Latest Issues. Tap on the link for any of the most recent emails or hit More Issues to see older ones.
To see how many people subscribe to Applied Clinical Radiology, simply upgrade your Reletter account. We provide readership numbers and lots of other stats for this newsletter so you can decide if it's worth reaching out to.
Newsletter advertising can be extremely effective when it's done right. Before you pitch Applied Clinical Radiology as a potential sponsor or partner, make sure that you've done your research and checked its newsletter stats with Reletter.
Then, personalize one of our winning pitching templates and send it to the right person using the contact info provided.
Newsletter ad rates (or CPM) vary depending on many factors, including industry, number of subscribers, open rate, ad placement and more.
To find out how much an ad will cost, contact Applied Clinical Radiology using the contact information provided and ask for a copy of their media kit.
Scroll up to where it says Related Newsletters to see other publications like Applied Clinical Radiology. You can also search our email newsletter directory to discover other newsletters that cover the topics you're interested in.
Reletter provides this newsletter's website URL above, where you will often find their contact information. We also provide links to associated social media accounts and pitching templates so you can reach out fast.